新宁县人民医院口腔科开展高难度种植牙成功
2025-07-24 14:32:47 | 来源:本站 阅读量:
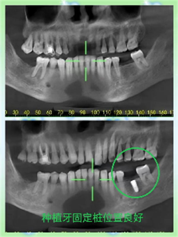
本网讯(通讯员:曾海燕、钟韬)7月23日,60岁的邓大哥在新宁县人民医院口腔科实施种植牙手术成功,复查种植牙位置良好,这是县人民医院口腔科开展的复杂疑难种植牙手术,标志着口腔科诊疗技术跃上新台阶。

严谨细致的术中

邓大哥下颌双侧后牙缺失3年多,多次在外地医院口腔科就诊,种植没成功。近日,就诊于县人民医院口腔科。主治医师钟韬仔细检查,邓大哥的左下第一磨牙、右下第二磨牙缺失,牙槽嵴、咬合及牙周情况良好,拍摄CBCT后,评估满足种植条件,在上级医院专家陈炜会诊指导下完善手术方案。经积极术前准备,顺利完成左下第一磨牙区种植体植入,术后患者无任何不适。

全新口腔颌面锥形束计算机体层摄影设备(CBCT)
爱牙知识:牙好,身体就好 牙缺失的影响
牙槽骨的作用是支撑牙齿,牙齿一旦缺失,牙槽骨就失去了用处,吸收和萎缩不可避免,一旦发生就很难恢复。时间一久,周围健康的牙齿也会因为牙槽骨支撑力不足开始向缺牙处倾斜、延伸,随之而来出现食物塞牙、龋齿频发、牙周病缠身、周围的牙越掉越多。牙齿缺失后,咀嚼效能降低,影响消化吸收,导致全身各系统疾病发病增加,威胁人的生命健康,缺牙修复要趁早。
活动假牙
依靠
烤瓷牙
通过磨小两边的好牙来进行固位,对缺牙处的压力没那么大,牙槽骨吸收速度会慢一些。
种植牙
把种植体独立地放入牙槽骨中,让植体和牙槽骨产生紧密的骨结合,重新恢复牙槽骨的作用,可以有效阻止牙槽骨继续萎缩,又不伤害其他牙齿,让缺牙人士恢复可媲美真牙的咀嚼功能。
热点
- 1
- 2
秉实业基因,绘生态蓝图:王步斌的跨界创业之路187991
- 3
秉实业基因,绘生态蓝图:王步斌的跨界创业之路187969
- 4
冯书:服务新时代,演讲让中国故事更加精彩159908
- 5
昆明轿子山第七届冰雪嘉年华开幕159875
- 6
中柬泰外长在云南举行三方会晤119957

微博
百家号